Gelenkerhaltende Eingriffe
Gelenkerhaltende Eingriffe stellen einen Schwerpunkt unseres Behandlungsspektrums dar. Oftmals können diese minimal-invasiv als sogenannte Gelenkspiegelung (Arthroskopie) durchgeführt werden. Im Rahmen dieser Gelenkspiegelung können durch kleine Schnitte (Schlüsselloch-Technik) die schmerzhaften Gelenke genauestens untersucht werden und in der gleichen Operation gezielt therapiert werden.
In der Klinik für Orthopädie und Unfallchirurgie können wir entsprechend das komplette Behandlungsspektrum der offenen und arthroskopischen Gelenkchirurgie vom Leistungssportler bis hin zum höheren Lebensalter auf höchstem Niveau – sowohl primäre Eingriffe als auch Revisionen – abbilden.
Therapie der Bizepssehnenreizung
Wenn speziell im vorderen Bereich der Schulter Schmerzen auftreten, die in die Tiefe des Schultergelenkes oder in den Bizeps ausstrahlen, kann eine Schädigung oder Entzündung der langen Bizepssehne vorliegen.
Falls die konservativen Maßnahmen hier nicht zu einer zufriedenstellenden Situation führen, können wir diese Pathologie sehr gut minimal-invasiv / arthroskopisch („Schlüsselloch-Chirurgie“) therapieren mittels Ablösung (Tenotomie) oder Befestigung (Tenodese).
Therapie von Engpasssyndrom (sog. Impingement)
Einklemmungssymptome der Supraspinatussehne am Schultergelenk sind sehr häufig. Meist können diese jedoch konservativ mit gezielten Muskelkräftigungsübungen behandelt werden. Liegen jedoch schon Risse in der Sehne vor, so müssen diese oftmals wieder angenäht werden.
- Physiotherapeutische Behandlung
- Arthroskopische subakromiale Dekompression
Therapie von Frakturfolgen
Oftmals heilen akute Schulterverletzungen nicht folgenlos aus. Dann gilt es, die genaue Ursache der Schmerzen und Funktionseinschränkungen herauszufinden und entsprechend zu therapieren.
Therapie von Gelenkverschleiß
Im Endoprothetikzentrum der Maximalversorgung des Malteser Waldkrankenhaus St. Marien bieten wir unseren Patientinnen und Patienten künstlichen Gelenkersatz (Endoprothetik) von zertifizierter Qualität. Alle Operateure des Zentrums sind hocherfahrene Experten Ihres Fachs.
Therapie der Kalkschulter
Wenn die konservative Therapie der Kalkschulter zu keiner ausreichenden Besserung führt, kann mittels schonender arthroskopischer Verfahren der Kalk sorgfältig entfernt werden. Die Operation dauert dabei keine 20 Minuten und der starke Schmerz ist meist sofort weg.
Therapie von Knorpelschäden
Im Prinzip stehen für die Schulter die gleichen Therapieoptionen wie für Knorpelschäden des Kniegelenkes zur Verfügung.
Therapie von Rissen der Rotatorenmanschette (Rotatorenmanschettenruptur)
Häufig finden sich ab dem 60. Lebensjahr Risse in der sog. Rotatorenmanschettenmuskulatur. Diese führen zu Schmerzen und Funktionseinschränkungen. Je nach Größe des Risses können diese meist arthroskopisch wieder angenäht werden. Selten werden mini-offene Operationen noch angewandt. Bei irreparablen Rupturen können auch einmal Sehnentransferoperationen oder Ersatzplastiken (beim jungen Patienten) vorgenommen werden. In Einzelfällen kann die Sehne auch verstärkt werden (autologe Sehne, Patches). Diese sind allerdings gegenüber künstlichen Gelenken beim älteren Menschen abzuwägen.
- Arthroskopische Sehnennaht
- Mini-open Sehnennaht
- Sehnentransferoperationen
- Sehnenersatzplastiken inkl. Augmentationen
- Inverse Schulterendoprothetik
Therapie der Schulterinstabilität
Schulterluxationen gehören zu den häufigsten Gelenksluxationen und neigen v. a. bei jüngeren Patienten zu erneuten Luxationen nach Reposition des Gelenkes. Bei erfolgloser konservativer Therapie oder wiederholten Luxationen sollte das Gelenk operativ stabilisiert werden. Standard sind hierbei minimalinvasive arthroskopische Techniken. Nur bei größeren Knochendefekten sind selten auch offene Verfahren zur Rekonstruktion der Knochendefekte noch notwendig.
- Arthroskopische Kapsel-Labrum Rekonstruktion (Bankart-Repair, Remplissage)
- Knöcherne Stabilisierungen (Latarjet/Beckenkamm)
Therapie von Schultersteife
- Intensive Physiotherapie
- Arthroskopische Gelenkmobilisierung mit Lösung von Vernarbungen
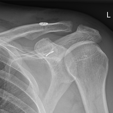
Akute oder chronische Schultereckgelenkssprengungen treten häufig nach Stürzen auf. Hier ist bei hochgradigen Verletzungen die operative Stabilisierung notwendig. Während die akuten Verletzungen minimal invasiv versorgt werden können, ist bei chronischen Verletzungen häufig die Verstärkung mit körpereigener Sehne (wie bei der Kreuzband-OP) notwendig.
Ellenbogen
- Therapie von Tennis- und Golferellenbogen (Epicondylopathie)
- Therapie von Sehnenverletzungen (Bizepssehne, Trizepssehne)
- Therapie von Nervenengpasssyndromen
- Therapie von Gelenkverschleiß
- Therapie von Bewegungseinschränkungen (Arthroskopische / offene Arthrolysen)
- Therapie von Instabilitäten (Seitenbandplastiken)
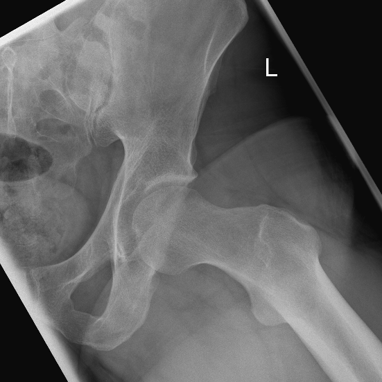
- Therapie von Impingement-Syndromen des Hüftgelenkes (femoroacetabuläres Impingement)
- Therapie von Knorpelschäden und Gelenkverschleiß
- Therapie von Schäden der Gelenklippe
- Entfernung freier Gelenkkörper
- Therapie von Bewegungseinschränkungen
Ein stark vorstehender knöcherner Pfannenrand (Pincer- oder Beißzangen-Impingement) oder ein inhomogener knöcherner Übergang des Hüftkopfes in den Schenkelhals (sog. CAM- oder Nockenwellen-Impingement) liegt oft bei Hüfterkrankungen vor, die schon im Kindesalter beginnen. Allerdings treten die ersten Beschwerden häufig erst im Erwachsenenalter auf. Die Hüftarthroskopie bietet dabei die Möglichkeit einklemmende Knochenüberstände abzutragen und die Kontur des Hüftkopf-Schenkelhalsbereiches durch spezielle Fräsen wieder zu normalisieren. Dadurch wird ein vorzeitiger Hüftverschleiß verhindert.
Therapie von Bandinstabilität
Bandverletzungen am Kniegelenk gehörten mit zu den schwerwiegendsten Sportverletzungen, zumal diese oft auch als Kombinationsverletzung z. B. mit Meniskus- und Knorpelschädigungen auftreten. Daher ist eine möglichst optimale Wiederherstellung entscheidend, um auch langfristig eine gute Funktion zu gewährleisten und Gelenkverschleiß zu vermeiden.
- Ersatz oder ggf. auch Refixierung des vorderen Kreuzbandes
- Ersatz des hinteren Kreuzbandes
- Therapie von Instabilitäten des Innen- und Außenbandes
- Revisionsbandplastiken
Neben den reinen Bandplastiken werden bei Verletzungen der Bänder auch weitere Risikofaktoren / Begleitverletzungen mit behandelt, v. a. bei Revisionseingriffen:
- Anterolaterale Stabilisierung (n. Lemaire)
- Slope korrigierende Osteotemien
- Meniskusrefixationen ( u. a. Ramp-Läsionen)
Von Prof. Dr. Tischer wurde zusammen mit Dr. Condello der europäische Konsensus der ESSKA zur vorderen Kreuzbandrevision geleitet.
Therapie von knöchernen Fehlstellungen (X- oder O-Beine)
Soll bei aktiven Patienten der Einbau eines Kunstgelenkes noch verhindert werden, ist die Möglichkeit einer Achskorrektur zu überprüfen. Dabei wird durch Änderung der Beinachse die Belastung des Gelenkes dahingehend modifiziert, dass der Patient noch lange ohne künstliches Gelenk auskommen kann. Der Ort der Korrektur (Unter-/Oberschenkel) hängt dabei von der vorliegenden Fehlstellung ab. Den Erfolg der Operation kann man vorab z. B. durch Tragen einer speziellen Kniegelenksscheine überprüfen, die dafür sorgt, dass die kranke Seite etwas entlastet wird.
Prof. Tischer hat zusammen mit dem AGA Komitee Knie Arthrose/Gelenkverschleiß eine aktuelle Übersicht über kniegelenknahe Osteotomien publiziert.
Behandlung posttraumatischer Fehlstellungen
Verbliebene Fehlstellungen nach Knochenbrüchen führen zu einer übermäßigen Belastung einzelner Gelenkanteile, sodass es dort zu einem vorzeitigen Gelenkverschleiß kommt. Daher kommt der Korrektur verbliebener Fehlstellungen und Therapie von Verletzungsfolgen eine wichtige Rolle zu.
Therapie des beginnenden Gelenkverschleißes
Hier stehen alle Behandlungsoptionen zur Verfügung, um die Implantation einer künstlichen Endoprothese möglichst hinausschieben zu können. Von konservativer Therapie über gelenkerhaltende Eingriffen an Knorpel, Meniskus und Bändern spielt hier vor allem die Korrektur der Beinachse eine wichtige Rolle, um den geschädigten Kniegelenksbereich zu entlasten. Aber auch die Teilendoprothetik kann sinnvoll sein. Wenn das Gelenk jedoch fortgeschritten zerstört ist, dann hilft verlässlich nur die Implantation einer Gelenkendoprothese.
Therapie von Instabilitäten der Kniescheibe (Patella)
- Mediale Raffung
- Rekonstruktion des medialen patellofemoralen Bandes (sog. MPFL-Plastik)
- Versatz der Kniescheibe (Tuberositas-tibiae-Versatz)
- Trochleaplastik
- Achskorrektur (bei Rotations- oder X-Fehlstellung)
- Isolierter patellofemoraler Gelenkersatz
Therapie von Knorpelschäden
Entscheidend für eine reibungslose Gelenkfunktion ist die intakte Knorpeloberfläche der Gelenkpartner. Schon kleine Schäden können zu Schmerzen führen und die Entstehung einer Arthrose beschleunigen. Ob eine Operation bei Ihnen infrage kommt und welche Technik sich in Ihrem Fall am besten eignet, besprechen Sie mit unseren Spezialisten für Orthopädie und Unfallchirurgie vor Ort, nachdem wir uns ein Bild Ihrer Beschwerden und der vorliegenden Bildgeben (z. B. Röntgen, MRT) gemacht haben. Unser Therapiespektrum umfasst unter anderem:
Therapie von Meniskusschäden
Die Menisken sind wichtige Stabilisatoren und Puffer des Kniegelenks, die für eine reibungslose Funktion unseres Knies sorgen. Aufgrund ihrer zentralen Lage im Kniegelenk sind die Menisken öfters durch Unfälle oder Verschleiß beschädigt und dadurch gehören die Meniskusschäden zu den häufigsten Knieverletzungen.
Daher ist der Versuch der Reparatur eines geschädigten Meniskus von zentraler Bedeutung für das Knie. Dadurch können die eventuellen nicht mehr regenerierbaren Folgeschäden im Knie (Gelenkverschleiß) vermieden bzw. hinausgezögert werden. Jedoch muss nicht jeder Riss des Meniskus operativ versorgt werden.
In unserer Klinik bieten wir das komplette Spektrum der Meniskusversorgung an:
- Ausführliche Diagnostik
- Konservative Therapie
- Operative Techniken
Die operative Versorgung eines Meniskus erfolgt in sogenannter Schlüssellochtechnik (Arthroskopie) und verbessert damit die postoperative Genesung. Das alles natürlich auf dem neuesten Stand der medizinischen Wissenschaft!
Therapie von Verletzungen der Quadrizeps- oder Patellasehne sowie Sehnenreizungen
Sprunggelenk
- Therapie von Knorpelschäden und Gelenkverschleiß (meist osteochondrale Läsionen)
- Anbohrung
- Spongiosaplastik
- Membranassozierte Knochenmarkstimmulation
- Therapie von Bandinstabilitäten
- Außen-/Innenbandnaht
- Außen-/Innenbandplastik mit Sehnenersatzmaterial
- Syndesmosennaht/Rekonstruktion
- Therapie von Fehlstellungen (X- oder O-Fehlstellung)
- Supramalleoläre Osteotomien
- Kalkaneusosteotomien
- Therapie von Impingementsyndromen des oberen Sprunggelenkes