Herzrhythmusstörungen

Eventrekorder Diagnostik

Bestehen Beschwerden, die auf eine Herzrhythmusstörung hindeuten, ist diese aber weder in den nicht invasiven Untersuchungen noch in der elektrophysiologischen Untersuchung festzustellen, so kann das Einsetzen eines Eventrekorders von Nutzen sein.

Dabei handelt es sich um ein Gerät, das Störungen des Herzrhythmus aufzeichnen kann, ohne dass dafür Elektroden ins Herz gelegt werden müssen. Das Gerät wird in der Nähe des Herzens unter die Haut eingesetzt und kann dort aufgrund seiner Batterieleistung bis zu drei Jahren verbleiben.

Das Gerät kann jederzeit über ein spezielles Kontrollgerät abgefragt werden und kann so zur Diagnosefindung beitragen.

Herzschrittmachertherapie

Voraussetzung für die Funktion des Herzens ist nicht nur eine einwandfreie Durchblutung des Herzens, es ist auch ein elektrischer Impuls notwendig, der den Herzschlag einleitet. Verantwortlich in unserem Herzen ist dafür der sogenannte Sinusknoten. Er gibt den Zündimpuls der dann über spezielle Muskelfasern, die Leitungsbahnen im Herzen verteilt wird.


Störungen der Impulsbildung oder der Impulsleitung können zu einem langsamen Herzschlag, der sogenannten Bradykardie führen. Diese äußert sich durch Herzstolpern und Herzaussetzern.


Sind die Störungen anhaltend, so können Schwindel, Kollaps, Luftnot oder fehlender Leistungsfähigkeit auftreten. Ursache hierfür ist die unzureichende Versorgung von Herz und Körper mit Blut während der Bradykardie. In solchen Fällen kann es notwendig werden, einen künstlichen Impulsgeber, einen Herzschrittmacher, einzusetzen.


In unserer Klinik werden alle gängigen Arten von Einkammer- und Zweikammer-Herzschrittmachern der führenden Hersteller eingesetzt. Dieser Eingriff ist eine kleinere Operation die zumeist in örtlicher Betäubung durchgeführt werden kann und ca. 30-60 Minuten dauert.

Defibrillatortherapie

Bei Patienten, welche aufgrund einer organischen Herzerkrankung (z. B. Herzinfarkt oder krankhafter Herzmuskelerweiterung) eine Einschränkung ihrer Herzleistung aufweisen, können zusätzlich zu langsamen Herzrhythmusstörungen auch schnelle Herzrhythmusstörungen aus den Hauptkammern des Herzens auftreten. Diese können zu Herzrasen, Kollapszuständen (Synkopen) oder gar zum plötzlichen Herztod führen.

Wer diesbezüglich gefährdet ist, wird in den nicht invasiven Untersuchungen oder auch der invasiven (elektrophysiologischen) Untersuchung des Herzens geprüft. Ist eine Gefährdung gegeben oder bereits eine gefährliche Rhythmusstörung einmal aufgetreten, so kann es notwendig sein, einen sogenannten Defibrillator (ICD) einzusetzen.

Der Defibrillator weist alle Funktionen eines Herzschrittmachers auf, kann aber zusätzlich schnelle, bösartige Herzrhythmusstörungen erkennen und behandeln. Er verhindert damit sehr zuverlässig den plötzlichen Herztod.

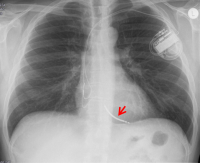
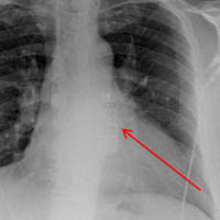
In unseren Katheterlaboren können wir alle verfügbaren ICD´s operativ einsetzen. Die Operation erfolgt ähnlich der Herzschrittmacheroperation. Dabei findet anstelle der normalen Herzschrittmachersonde eine spezielle Defibrillationssonde Anwendung. Das Gerät selbst wird in der Regel unter den großen Brustmuskel in der Nähe des linken Schlüsselbeines eingesetzt.

Bild 1: Zweikammer-ICD mit Elektrode im Vorhof und Defibrillations­sonde (Pfeil) in der rechten Herzkammer

Kardiale Resynchronisationstherapie (CRT-Therapie)

Bei Patienten mit einer ausgeprägten Herzmuskelschwäche, bei denen linke und rechte Herzkammer mit betroffen sind, kann es zur ungleichmäßigen Arbeit verschiedener Herzabschnitte kommen. Daraus resultiert eine asynchrone Bewegung der linken Herzkammer. Zeigen die Untersuchungen, dass dieses Bewegungsmuster bei einem Patienten vorliegt und ist er in seiner Leistungsfähigkeit deutlich eingeschränkt, so kann die Implantation eines sogenannten CRT-Systems die Pumpleistung bessern und die Beschwerden abmildern.

Auch diese Operation kann im Herzkatheterlabor vorgenommen werden. Zusätzlich zu den Sonden eines Herzschrittmachers bzw. Defibrillators wird eine weitere Sonde (Elektrode) über Venen des Herzens, die in den rechten Herzvorhof münden, auf die linke Seite des Herzens vorgeschoben. Dazu stellt sich ihr Arzt die Venen mit Kontrastmittel unter Röntgenkontrolle dar. Die Dauer eines derartigen Eingriffes ist mit 1,5-3 Stunden länger als die einer klassischen Herzschrittmacher- oder Defibrillatoroperation. In der Regel schläft der Patient daher bei diesem Eingriff.

Kardiale Kontraktionsmodulation (CCM®-Therapie)

Die kardiale Kontraktionsmodulation (sog. CCM®-System) ist ein Verfahren zur Therapie von Patienten mit mittel- bis hochgradig eingeschränkter linksventrikulärer Herzleistung (Herzschwäche, systolischer Herzinsuffizienz), deren Symptome sich trotz medikamentöser Therapie nicht bessern lassen. Zudem kommt diese Therapieform bei Patienten zur Anwendung, bei denen weitere implantierbare gerätegestützte elektrische Therapiemethoden, wie zum Beispiel die kardiale Resynchronisationstherapie (CRT) aufgrund der spezifischen Indikationskriterien nicht infrage kommen.

Die CCM®-Therapie ist auch anwendbar, wenn die Patienten bereits Träger eines Herzschrittmachers oder Defibrillators sind.

Die Entscheidung, wer für diese Therapie geeignet ist, erfolgt in enger Abstimmung des behandelnden Arztes mit unseren spezialisierten Kardiologen und den Patienten.

Das Vorgehen der Implantation ist vergleichbar mit der Implantation eines Schrittmachers oder Defibrillators. Das CCM®-System für die kardiale Kontraktionsmodulation wird unterhalb des Schlüsselbeins implantiert. Die Abgabe der Therapie erfolgt über Elektroden, die an bestimmten Stellen des Herzens platziert werden. In der Regel ist diese Therapieabgabe schmerzfrei und erfolgt unbemerkt. Durch einen Impuls wird die Kontraktionskraft des Herzmuskels verbessert. Dieser Impuls weist eine höhere Energie auf als der eines herkömmlichen Schrittmachers. So müssen diese Geräte in regelmäßigen Abständen aufgeladen werden. Die Batterie des CCM®-Systems kann von außen aufgeladen werden. Dies kann der Patient zu Hause selber einmal wöchentlich durchführen. Ein Ladevorgang dauert in der Regel ca. 90 Minuten.

Elektrophysiologie und Ablationsbehandlung

Schnelle Herzrhythmusstörungen können in jedem Alter auftreten. Zumeist leiden die Patienten unter anfallsweisem Herzrasen mit plötzlichem Beginn und Ende. In ausgeprägten Fällen können diese Störungen auch zu Beeinträchtigungen des Kreislaufs führen.

In der Elektrophysiologischen Untersuchung wird über dünne Elektrodenkatheter, welche über die Leistenvenen zum Herzen geführt werden, das EKG aus dem Herzen abgeleitet. Durch gezielte Elektroimpulse kann zusätzlich in vielen Fällen die Rhythmusstörung ausgelöst werden. Dadurch ist ihr Arzt in der Lage, den Ursprung der Rhythmusstörung und deren Ursache genau zu untersuchen.

Ist der Mechanismus der Rhythmusstörung erst einmal gefunden, so kann in den meisten Fällen durch eine gezielte Verödungsbehandlung (Ablation) die Rhythmusstörung dauerhaft ausgeschaltet werden. Insbesondere kommt diese Behandlung bei uns für folgende Rhythmusstörung zum Einsatz:

  • Fokale atriale Tachykardien
  • Atriale Reentrytachykardien
  • Vorhofflattern
  • Vorhofflimmern
  • AV-Knoten-Reentrytachykardien
  • Akzessorische Leitungsbahnen, z. B. WPW-Syndrom
  • Fokale ventrikuläre Extrasystolen oder ventrikuläre Tachykardien
  • Ventrikuläre Reentrytachykardien

Die Ablationsbehandlung wird über die Leistenvenen in wenigen Fällen auch über die Leistenschlagadern mit speziellen, steuerbaren Elektrodenkathetern durchgeführt. Als Verfahren gibt es die konventionelle, gängige Hochfrequenzverödung (Wärmebehandlung) und die Kälteverödung. Zum Teil sind diese Eingriffe sehr aufwendig und können mehrere Stunden dauern. Ob diese Untersuchungen bei schlafenden Patienten durchgeführt werden können, ist vom Einzelfall abhängig.

Im Malteser Waldkrankenhaus St. Marien bieten wir die Behandlung aller Herzrhythmusstörungen an. Das Haus weist neben der üblichen Ausstattung für diese Untersuchungen auch spezielle apparative Möglichkeiten auf.

So können mit sogenannten 3 dimensionalen Ortungssystemen (Mappingsystemen – CARTO® 3 System, Enside® System) die Herzrhythmusstörungen erfasst werden und die elektrische Erregung des Herzens in einem dreidimensionalen Computermodell dargestellt werden (vergleichbar mit einer elektrischen Landkarte der Herzrhythmusstörung mit frühen und späten elektrischen Arealen). Darüber hinaus kann der elektrische Impuls des Herzens in seinem Ablauf dargestellt werden. Dieses erleichtert den Mechanismus der Herzrhythmusstörung zu erkennen und den Ursprungsort der Herzrhythmusstörung punktgenau zu erfassen.


Bild 1a und 1b: Dreidimensionale, virtuelle Darstellung der Herzvorhöfe (farbig) und der großen Venen (grau) mit CARTO 3 Uniview®.

Dargestellt sind ein rechtsseitlicher (Bild 1a) und linksseitlicher (Bild 1b) Blick auf das Herz mit Röntgenbild im Hintergrund (Bild 1a). Die Vorhofherzrhythmusstörung bei diesem Patienten hatte seinen Ursprung im linken Herzvorhof dargestellt durch die rot-orange Farbe, welche die früheste elektrische Erregung kodiert während die violette Farbe die späteste elektrische Erregung während des Herzzyklus darstellt. Die roten Punkte stellen den Ort dar, an dem die Herzrhythmusstörung unter Verödung aufhörte.


Bild 2: virtuelle Darstellung des linken Herzvorhofs mit angrenzenden Lungenvenen.

Die Farben kodieren den Ablauf der elektrischen Erregung des Herzens während eines Herzschlages mit frühen (rot-orangen) und späten (violetten) Bereichen beide Bereiche grenzen aneinander (rote Trennlinie). Somit kreist diese Rhythmusstörung um die Herzklappe (Mitralklappe – Öffnung in dem Modell des Herzvorhofes).

Sie treffen auf ein in diesen Verfahren hervorragend geschultes Team. Unser Chefarzt weist eine über 20 Jahre umfassende Erfahrung im Gebiet der Verödungsbehandlung auf. Ihm zur Seite steht ein hoch motiviertes und erfahrenes Team aus Ärzten und Schwestern.