Durchblutungsstörungen des Herzens

Herzkatheteruntersuchungen

Die Herzkatheteruntersuchung ist ein invasives Diagnose- und Therapieverfahren, für das uns zwei moderne Herzkatheterlabore zur Verfügung stehen. Angeboten werden alle gängigen diagnostischen und therapeutischen Verfahren.

Mittels der Katheteruntersuchung können Durchblutungsstörungen des Herzens, Herzmuskelerkrankungen und Herzklappenerkrankungen, aber auch angeborene oder erworbene Herzfehler sowie Erkrankungen des Herzbeutels und Veränderungen im Lungenkreislauf untersucht werden. Darüber hinaus können Veränderungen der herznahen Gefäße untersucht werden.

In Zusammenarbeit mit der radiologischen Praxis am Malteser Waldkrankenhaus kommen bei Bedarf außerdem alle neuen bildgebenden Verfahren wie Cardio-CT und Cardio-MRT mittels Geräten der modernsten Generation zum Einsatz.

Ballondilatationen und Stentimplantation

Wird in der Herzkatheteruntersuchung die Diagnose einer koronaren Herzerkrankung, also einer Verengung der Herzkranzgefäße durch Fett- und Kalkablagerungen (Arteriosklerose), gestellt, so kann im gleichen Eingriff eine Aufdehnungsbehandlung (Ballondilatation) durchgeführt werden. Häufig kommen dabei auch Gefäßstützen, sogenannte Stens zum Einsatz.

Neben den seit Langem bewährten Stents aus Metall, die lebenslang im Körper verbleiben, werden bei hierfür geeigneten Verengungen auch modernste, resorbierbare Stents (in Fachkreisen auch Scaffolds genannt) auf Magnesiumbasis eingesetzt. Sie lösen sich innerhalb eines Jahres vollständig auf und ermöglichen wieder eine natürliche Gefäßfunktion ohne dauerhaftes Fremdmaterial im behandelten Bereich. Ob eine Engstelle geeignet ist, um mit einem Magnesium Stent versorgt zu werden, wird durch den Einsatz eines Gefäßultraschalls während der Untersuchung geklärt. Eine starke Verkalkung schließt den Einsatz dieser speziellen Gefäßstütze aus.


Der Gefäßultraschall, auch IVUS genannt, zeigt zum einen den ursprünglichen Gefäßdurchmesser (grüner Kreis), zum anderen den noch durchbluteten Anteil des Gefäßes (roter Kreis).
Bei verschlossenen Gefäßen kann mittels spezieller Techniken auch versucht werden, das verschlossene Gefäß wieder zu öffnen.


Dieses ist insbesondere wichtig bei einem akuten Herzinfarkt, bei dem jede Minute zählt. Um jederzeit eine Versorgung in diesem akuten Notfall zu gewährleisten, hält die Klinik für Kardiologie und Rhythmologie eine 24-Stunden-Rufbereitschaft vor. Somit ist jederzeit die Möglichkeit gegeben, rasch die verursachende Engstelle bzw. den Verschluss zu behandeln.

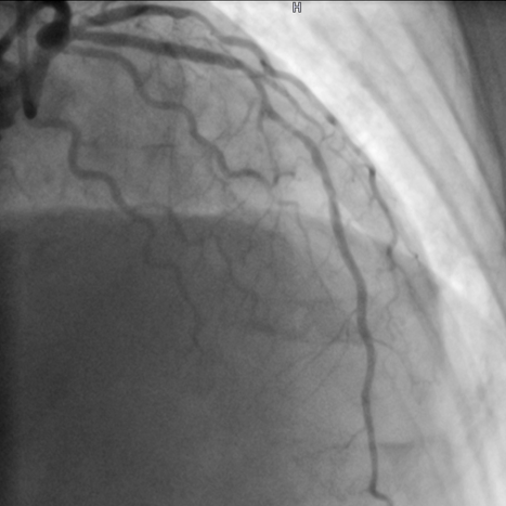
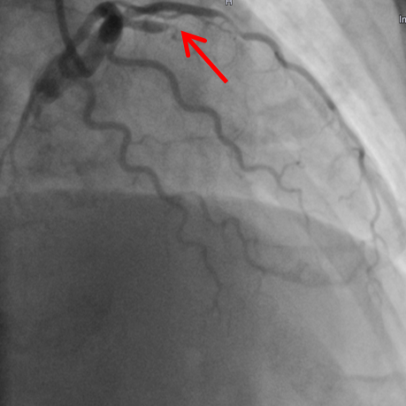
Akuter Herzinfarkt mit Verschluss des Vorderwandgefäßes (Bild 1a - Pfeil). Nach der Wiedereröffnung und dem Einsetzen einer Gefäßstütze kontrastiert sich das Gefäß wieder in ganzer Länge (Bild 1b).